本站讯(记者 肖珍珍)想象一下脚趾被凳子砸到的那一瞬间会不会有一种痛彻心扉的感觉?那么,断趾之痛又是怎样一种难以想象、无法言语的痛?痛过之后,脚趾还在吗?
半年前的一天,27岁的黄岩籍工人吴某在作业时不慎被压模机严重挤压,左足背大面积皮肤组织脱落,大脚趾头皮肉像脱套一样断离,鲜血淋漓,疼痛难忍。工友们慕名台州市博爱医院手足外科“接趾”技术很好,迅速将他送去救治。
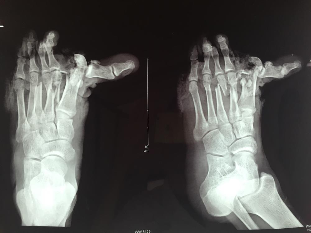
下方图片可能引起不适,请谨慎点开!

博爱医院手足一科王正理主治医师接诊时,患者的左足5个足趾苍白,血供消失,足背伸肌支持带至跖趾横纹处皮肤剥脱缺损,残留皮肤挫伤严重,创口污染严重……加之足趾离断,再植成活率极低,手术难度极高。
考虑患者年轻,“保趾”意愿强烈,经手足一科医生团队分析、讨论后,决定放手一搏。王正理医师与患者及家属进行了沟通,表示尽管再植条件实在太差,坏死的可能性很大,可能需要多次手术,但博爱手足团队依然愿意为他竭尽全力。吴某及家属决定做再植手术。
面对如此严重的伤情和手术难度,在手足一科主任吴春的指导下,王正理医师以最快的时间拟定了方案,通过改良足趾再植体位,争分夺秒地进行手术,手术经过5个多小时,在显微镜下吻合10多条血管以及5个足趾肌腱、神经,并采用负压封闭引流装置覆盖足背创面,手术取得成功,5个足趾血供得到恢复。在经过了后续的创面修复、内固定拆除及整形术,吴某逐渐恢复正常行走功能,回到了工作岗位。
12月17日,来院复查的吴某带着一枚锦旗,更带着他满脸的笑容和由衷的感谢来到了博爱医院手足一科,感谢这里的白衣天使的永不放弃的精神和精湛的医术,让他的断趾获得了重生。
手足外科医疗团队经常加班熬夜,随时待命,靠的是坚持不懈、迎难而上的决心和与时间赛跑的勇气。断趾(指)再植,如履薄冰,随时面临医疗风险,靠的是扎实的显微技术和敢于担当的精神。
工作中,王正理主治医师总是争分夺秒,坚信时间就是生命,一直以“精、细、快、准”的手术准则,具有很高的显微外科造诣,擅长断肢(指)再植,拇、手指再造,各种皮瓣修复四肢复杂创面,功能重建,畸形矫正,周围神经损伤等诊治。
在今年路桥区卫计系统庆祝改革开放四十周年文艺晚会上,王正理医师被评为区“十佳民营医院医师”,受到了隆重表彰。他表示,病人的信任是他前进的最大动力,他将带着这份信任一直守护病人的健康!
2018-12-24