本站讯(记者 蔡伟标 肖珍珍)22日,笔者从台州市博爱医院获悉,该院肿瘤外科专家团队日前成功为一名骶尾部脊索瘤患者实施了CT引导下经皮穿刺右侧腰背部肿块氩氦刀冷冻消融术,这是台州地区成功实施的第一例氩氦刀冷冻消融术。
患者孟某2009年初因腰部疼痛就诊于某医院,被诊断为骶尾部脊索瘤,当时在上海某三甲医院因瘤体巨大而无法切除,劝其家属放弃治疗,但是因为疼痛剧烈家属不忍放弃,慕名来台州市博爱医院求治,2009年上半年给与放射治疗,放疗后症状有所控制,病情缓解了三年时间,2013年下半年因为病灶的局部复发,再行第二次放射诊疗,此次治疗后第三年,症状再次加重,再行放疗治疗,2017年5月,患者第二次复发,由于已经做过两次放疗,无法再行此类治疗,孟某出现恶心呕吐,胃胀不适,臀部以下疼痛并伴有尿失禁,到博爱医院检查。对其行CT检查后,专家诊断为骶尾骨、腰大肌已有侵犯,病灶范围较前更加广泛,肿瘤微创介入团队负责人陈国卿与刘院生教授等专家经多次会诊、分析、讨论,最终决定为孟某实施CT引导下经皮穿刺右侧腰背部肿块氩氦刀冷冻消融术。
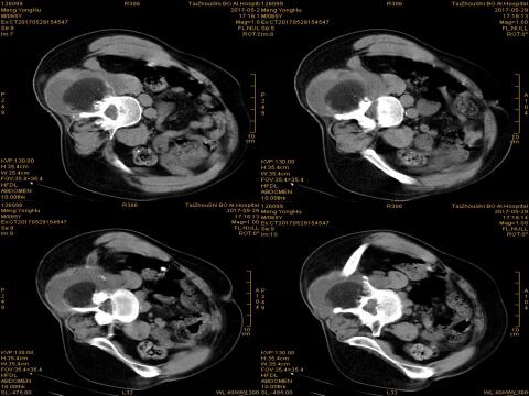
术前准备就绪后,专家团队经过CT扫描定位、穿刺、进针、消融、即刻再次扫描等过程,通过反复冷冻循环后复温,清晰可见患者腰部肿瘤组织逐渐消融。为了尽可能减少患者术中正常脑组织的损伤、降低脑功能的影响,患者全程处于无痛的清醒状态,并能与医生交流,手术非常顺利。
此次手术的成功开展,不仅标志博爱医院在肿瘤微创诊疗技术上取得了新突破,而且填补了我市在氩氦刀肿瘤治疗技术领域的空白。
据业内人士介绍,氩氦刀疗法是依据CT或B超精准定位,在肿瘤部位插上几根针,利用超低温气体在短时间内将肿瘤冻成冰球,将肿瘤杀死消融。手术时间短,创伤小,手术过程中患者完全清醒,没有任何痛苦,术后恢复快,是肿瘤治疗领域一种全新的绿色疗法。





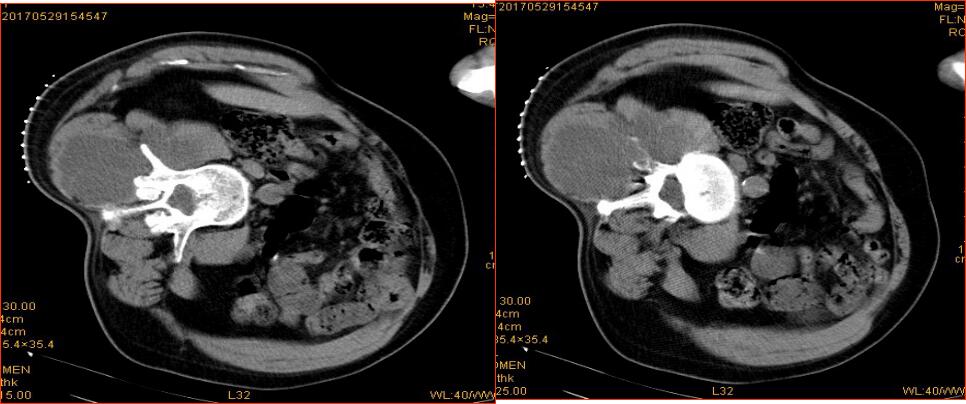
氩氦刀冷冻前定位


氩氦刀冷冻中定位

冷冻后即刻评估疗效:冰球(脂肪密度)
2017-06-23

