本网讯(文化策划中心 丁建萍/文)30年前,在遍地还是小矮房的80年代,叶大伯家要盖新房了。幸福的家如果由自己全程参与建造,那肯定会加倍温馨的吧。这不,叶大伯亲自上阵了。
40岁的叶大伯正值壮年,打墙、盖瓦样样在行,飞檐、走壁不在话下。可是,“武功”再高,也怕摔伤。叶大伯从房顶上摔了下来,浑身剧痛的叶大伯被送往当地某医院进行了腰部手术,“祸根”却没被揪出来。
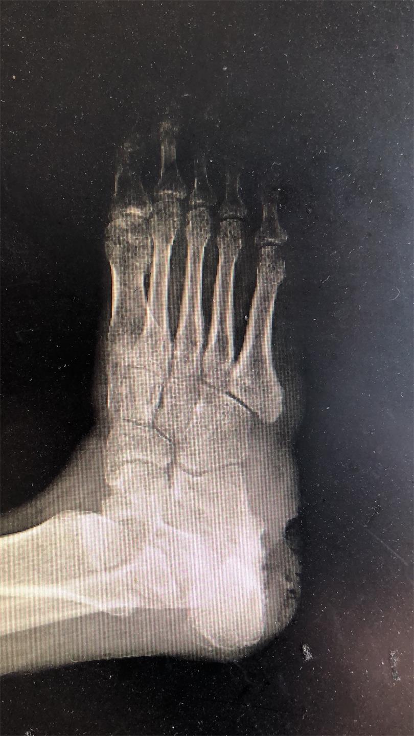
从房顶摔下,70岁大伯脚伤30多年未愈
“我这脚,红来红去红了30年,痛来痛去痛了30年。”叶大伯迫不及待地说,“刚开始有点红肿,没几天消了一些,之后一直反反复复,加上工作忙,能忍就忍一下,谁还管它啊。”
就在一个星期前,叶大伯感冒了,这次着凉和往常都不一样——头不痛,脚痛!
随着感冒的爆发,叶大伯的右脚后跟疼痛难忍,水肿明显,皮肤逐渐红肿长达7天,严重影响生活。在家人的强烈要求之下,叶大伯来到了台州市博爱医院,手足外科中心主任、副主任医师吴春收治其入院。
经检查,叶大伯的右踝部明显红肿,足跟的皮肤组织呈暗灰色,还有不少暗灰色的“脓水”渗出,内踝下有一条约1cm长的窦道,并且有不少淡黄色液体渗出。叶大伯的右足跟皮肤坏死、右足跟慢性骨髓炎伴软组织感染至右足疼痛畸形,时间长达30余年。

疼痛一直迁延不愈,被骨髓炎困扰的那30年
叶大伯就纳闷了:“我的骨头长在肉里,也没有暴露出来,怎么就发炎了?”
看到叶大伯情绪有些激动,吴春主任耐心地跟他解释:骨髓炎就是骨感染,主要是因为外伤、血源性等原因引起骨组织如骨髓、骨质或骨膜的感染。可由需氧或厌氧菌,分枝杆菌及真菌引起。骨髓炎好发于长骨,糖尿病患者的足部或由于外伤或手术引起的穿透性骨损伤部位。儿童最常见部位为血供良好的长骨,如胫骨或股骨的干骺端。
目前,叶大伯已经出院回家了,由于进行了有效治疗,叶大伯已经可以自由行走、脚下生风。
出现下列情况请就医
急性骨髓炎起病时高热、局部疼痛,转为慢性骨髓炎时,会有溃破、流脓、有死骨或空洞形成。重症患者常危及生命,有时不得不采取截肢的应急办法,致患者终生残疾。
慢性骨髓炎可能发生的并发症有以下几种:
1.畸形:由于骨骺受炎症的刺激,使患肢过度生长而变长,或因骨骺板破坏,影响发育,结果肢体短缩,骨骺板一侧受破坏,发育不对称,使关节呈内翻或外翻畸形;由于软组织瘢痕挛缩,也可引起屈曲畸形。
2.关节强直:由于感染扩散到关节内,关节软骨面破坏,使关节呈纤维性或骨性强直。
3.癌变:窦道口皮肤由于不断受刺激,可合并癌变,常见为鳞状上皮癌。
敲黑板,
划重点!
临床上骨髓炎常见有反复发作,严重影响身心健康和劳动能力。
台州市博爱医院手足外科中心吴春副主任医师提醒,如果手脚总是出现红肿难消,或者隐隐疼痛,疼痛总是好不了,要及时去医院就诊。
台州市博爱医院手足外科中心
精研于技术、专注于服务,践行“以病人为中心”的理念,为群众健康护航。擅长断肢(腕、指、掌、趾)再植等;手足部的各种创伤,如神经、血管、肌腱、骨及关节损伤的修复;四肢血管的修复重建;手足部的皮肤、肌肉及骨的缺损修复,如吻合血管游离皮瓣的修复;手足部各种损伤的晚期功能重建,如四肢神经损伤的晚期修复等;各种慢性创面如骨外露、肌腱外露的显微外科修复;四肢创伤性疼痛的诊治,如腱鞘炎、残端痛等;手足部疤痕增生及挛缩畸形,如烧伤后期的修复;手足部各种先天性、后天性畸形或功能障碍的矫正。
吴春
副主任医师
▼

台州市博爱医院手足外科中心主任兼手足一科主任
台州市医学会第一届骨科分会青年委员
台州市医学会第二届手外科与显微外科分会委员
浙江省糖尿病足联盟委员
路桥区第六届拔尖人才
擅长断肢(指)再植,拇、手指再造,各种皮瓣、骨皮瓣移植修复,先天畸形矫正,创伤后期功能重建等手足外科创伤、修复重建的诊疗。
开展院内“三新”技术项目6项,并多次参与省、市科研课题研究,获得省、市科学技术奖三等奖各1项。现主持台州市科研计划项目课题1项。在国家核心期刊发表专业系列论文50余篇,其中以第一作者在《中华显微外科杂志》《中华手外科杂志》、《中华烧伤杂志》、《中华整形外科杂志》发表论文15篇

